Mitchell white
5/30/2018
Plants in motion
Hypothesis: Air pollution causes serious effects on plants therefore a plants stomatal density should be lower on plants that are subjected to air pollution because of the abundance of CO2 in its surroundings.
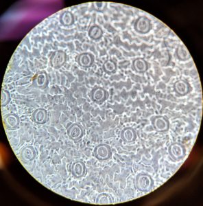
The purpose of this research project is to find the effects of every day pollutants. In our case we recorded data on cars and tobacco smoke and their influence on the plants around us. In our first experiment I studied the effects of car pollution on the Mahonia nervosa, better known as the Dull Oregon grape. I had taken six plant samples from the Evergreen State College parking lot C and six plant samples from the forest near the campus. My research partner studied the effects of tobacco smoke on plants and he took twelve from the smoking section and six from the forest. In order for us to see the effects we performed a simple lab to test the stomatal density of each plant. This was done by taking clear nail polish and covering the underside of the leaf. Once the nail polish had finished drying we took a large clear piece of tape and stuck it to the dry nail polish and peeled it off the plant leaving a clear imprint of the underside of the leaf. We then put each one of the samples under the microscope and counted the number of stomata in the field of view under the (400X) magnification and then we calculated the number of stomata per mm2. (Here is a quick video on how to do this for yourself https://youtu.be/fuYdzgSjZqg). As my hypothesis states I predict that the forest samples will have more stomata per leaf due to the findings of Josep Penuelas and Roser Matamala the authors of the Journal of Experimental Botany https://doi.org/10.1093/jxb/41.9.1119 their findings proved that plants that are exposed to more CO2 have s fewer stomatal density. A link my original word document that contains all the photos and graphs in a more organized format (view in print layout format not read mode). Stomatal Density project mitchell white
Samples from parking lot C at the Evergreen State College near the motorbike area were collected. These plants had been subjected to car and motorbike emissions on a daily basis. We also took samples from the designated smoking area on campus and then we took a control plant from the forest in between the organic garden and the college campus all three of which were taken from a shaded area at roughly the same altitude. We tested the stomatal density of the third leaf in off of branches that were between 10 and 12” off the ground, and discovered that there was a significant difference in the stomatal density of the polluted plants compared to the control plant. In those of the polluted plant the average stomatal density calculated out to be around 105 per (mm2) and those of the non-polluted ranged to about 125 per (mm2) proving my hypothesis correct that CO2 do affect plants stomatal density (but more plant samples are required and controlled environments are needed to test the effects of each type molecule in the air to see what is truly causing the plants stomata to lower and to fully prove my hypothesis on whether CO2 is the main factor).
Many experiments and tests are needed to complete the validity of the hypothesis. For example several different factors are needed to expand a further understating on how pollution affects the plants. The testing of several different species of plant and testing in several different locations where plants could be subjected to different levels of air pollution are needed to fully understand how it affects plants as a whole and not how just one specific plant reacts to pollution. Some sources of error could include variations in type of air pollution such as diesel emissions, gas emissions, cigarette/cigar smoke (O3, SO2, NOx, H2S etc…), how healthy they plant is, how often its watered, elevation, the effects of insects and animals in the surrounding area causing damage to the leafs and the amount of sunlight the plant gets would all be factors.
These are some results of a similar experiment that Derek conducted where the air pollution was cigarette/cigar smoke instead of car emissions. The results of both these experiments further proves that the original hypothesis was correct because the data collected from the smoking section shows that the stomatal density of those plants took a serious loss in stomata. (P=.000000007)
We then compared our data together but we used two different methods of stomata collection I had used the method where I would search each leaf for the largest cluster of stomata. My partner Derek used the method where he would choose the exact same location on every leaf and collect the number of stomata.
In a study conducted by Acsess (Alliance of crop, soil, and Environmental Science Societies) L. H. Allen Jr. wrote “Gaseous pollutants (O3, SO2, NOx, H2S) affect plants adversely primarily by entry through the stomata. An example calculation showed that reduction in stomatal conductance by doubled CO2 could potentially reduce the effects of ambient O3 and SO2 by 15%. However, information on the interaction of CO2 and air pollutants is scanty. (Allen Jr.)”
https://dl.sciencesocieties.org/publications/jeq/abstracts/19/1/JEQ0190010015
So overall our research is showing us that there is a very clear cause and effect of car emission and cigarette smoke on plants but the underlying fact is that more research is needed to complete our final analysis to figure out the full on cause that air pollutants have on plants. There was one very interesting thing that we discovered while conducting our research. When we had applied the nail polish to Mahonia nervosa we found that the samples from the forest had turned brown in the locations where we had painted the nail polish on and the samples from the parking lot and smokers section remained unchanged. We do not know what had caused this but found it quite interesting and would hope to do more research to find the cause of this occurrence.
References:
JOSEP PEÑUELAS, ROSER MATAMALA; Changes in N and S Leaf Content, Stomatal Density and Specific Leaf Area of 14 Plant Species during the Last Three Centuries of CO2 Increase, Journal of Experimental Botany, Volume 41, Issue 9, 1 September 1990, Pages 1119–1124, https://doi.org/10.1093/jxb/41.9.1119
Allen, L. H. 1990. Plant Responses to Rising Carbon Dioxide and Potential Interactions with Air Pollutants. J. Environ. Qual. 19:15-34. doi:10.2134/jeq1990.00472425001900010002x
Franks, Peter J., and David J. Beerling. “Maximum Leaf Conductance Driven by CO2 Effects on Stomatal Size and Density over Geologic Time.” PNAS, National Academy of Sciences, 23 June 2009, www.pnas.org/content/106/25/10343.full.
Zeng, Eddy Y. “A New Page for Environmental Pollution.” Environmental Pollution, vol. 204, 2015, pp. 1984–1990., doi:10.1016/j.envpol.2015.06.003.
Sucharov, Lance, and C. A. Brebbia. Urban Transport IX: Urban Transport and the Environment in the 21st Century. WIT, 2003.
parking lot collection area
brown spots found on forest samples after nail polish was applied
parking lot samples
forest samples
Panorama of forest collection location
stomata view under (400x) magnification













